2014年11月11日火曜日

成長期の反対咬合(受け口)について ~日本橋・人形町・水天宮前・茅場町・月島・江東区・墨田区・台東区・江戸川区近く ひとりひとりに、きちんとフィットする矯正治療はメープル矯正歯科~

メープル矯正歯科院長の山口です。

相当ぶりのブログ更新となりました(^▽^;)
しっかりとブログ更新していこうと思います^^

今回は成長期の小児矯正における反対咬合(いわゆる受け口)について説明したいと思います。
前歯の噛み合わせが逆になっています。

また横顔もいわゆるしゃくれた状態です。

反対咬合において重要なのは、いかに早く反対咬合(受け口)を改善していくかということです。早く反対咬合を改善する理由としては、成長期の反対咬合を放置してしまうと下顎が成長してしまい、受け口がどんどんひどくなります。前歯を早めに適正な噛み合わせ(反対咬合の改善)を獲得することにより、下顎の過度な成長を抑える役割もあるのです。

成長期の小児矯正では、うまく顎の成長を利用したり、また逆に顎の成長を抑えて適正な上下の顎の前後的・上下的な位置関係を目指すことが可能です。顎の成長が終わっている成人の矯正ではできない治療です。

今回は2つの装置を用いて、反対咬合(受け口)の改善をしました。
骨格的な反対咬合(骨格的な受け口)は、上顎が下顎と比べて、相対的に後方に位置しており、また上顎が下顎と比べて横幅が狭いことが多いです。このケースの場合、上顎を前方にひっぱる必要があることと横幅が狭い上顎を広げる必要があります。

上顎の横幅を広げる装置として、急速拡大装置があります。文字通り、急速に広げる装置で、一日1回転して広げていきます。とてもごっつい装置ですが、子供であれば1週間ほどで慣れます。

上顎骨の真ん中には正中口蓋縫合があります。縫合はいわゆる骨のつなぎ目の部分で、ここを広げていきます。

上顎が急速に広がるため、一時的に前歯のすきっ歯が生じますが、一か月経過すると自然に閉じますので、ご安心ください。

もう一つの装置が上顎前方牽引装置です。

文字通り、上顎を前方へ引っ張る装置です。家にいるときに装着して使う可撤式(取り外し可能)装置です。

急速拡大装置に付いているフックとマスクを組み合わせてゴムをかけて使います。

実は、上顎前方牽引装置を単独で使うよりもこの急速拡大装置を一緒に併用することにより、より上顎を前方成長させやすいことが言われています。

急速拡大装置は、先ほど説明した正中口蓋縫合のみならずその他の縫合の頬骨上顎縫合、鼻骨間縫合、頬骨側頭縫合などの上顎骨周囲の縫合部を離開させることができ、縫合が緩むことにより、上顎が前方成長しやくなります。

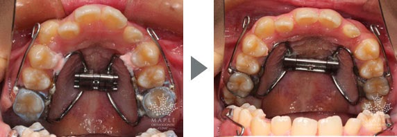
急速拡大装置と上顎前方牽引装置を用いた12か月の変化です。
前歯の反対咬合(受け口)が改善しました。

上顎の横幅も広がりました。

横顔も大きく改善しました。

骨の成長が止まった成人の場合は、外科的矯正治療(上顎や下顎を外科的手術を併用して顎の位置関係を改善)しない限り、横顔の受け口(いわゆるしゃくれ)の改善はできません。場合により外科的矯正治療をしない方法もありますが、受け口の上下顎の位置関係のまま、歯のみを動かして反対咬合(受け口)を改善するだけなので、横顔の受け口の改善はできません。

お子さまで反対咬合(受け口)を呈している場合、早く矯正専門医に相談することをお勧めします。




























ひとりひとりに、きちんとフィットする矯正治療
人形町、水天宮前、茅場町、日本橋、月島、江東区、墨田区、台東区、江戸川区近く
メープル矯正歯科